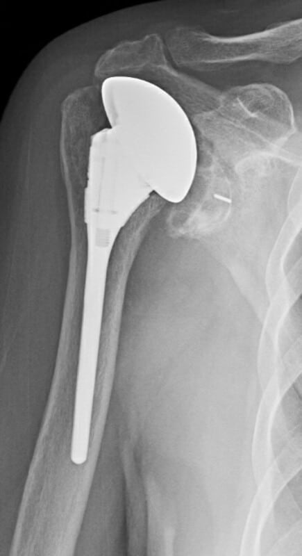
American Shoulder and Elbow Surgeons > DePuy, Global Unite
DePuy, Global Unite
Selected
OTHER IMAGES
Acknowledgments: This resource is provided as a joint effort of many individuals. First, we would also like to thank the ASES Technology Committee members, under the leadership of Dr. Peter Chalmers and Christopher Klifto, who curated, organized, and provided hundreds of images. Second, we would like to thank Dr. Matsen and Alexander Bertelsen PA, who provided many images gathered over decades from their image library. Third, we would like to thank the American Shoulder and Elbow Surgeons Society, under the leadership of Dr. Peter MacDonald, for funding the library.
Navigate
